Angiografia, investigatia revolutionara non-invaziva pentru retina

La Ama Optimex este disponibila o investigatie oftalmologica pentru diagnosticarea si urmarirea evolutiei bolilor retiniene. Se numeste angiografie si este efectuata cu ajutorul tomografului ZEISS CIRRUS OCT cu platforma AngioPlex.
Ce este angiografia non-invaziva pentru retina?
La ora actuala, angiografia este cea mai moderna investigatie pentru polul posterior al globului ocular, care permite vizualizarea simultana a circulatiei la nivelul coroidei si retinei. Spre deosebire de angiografia traditionala, care implica injectarea unui colorant, angiografia OCT este complet non-invaziva, nefiind necesara administrarea unei substante de contrast (fluoresceina).
Prin utilizarea tehnologiei AngioPlex, se pot obtine imagini tridimensionale cu o rezolutie ridicata, care permit medicilor sa evalueze structura si functia vaselor de sange si sa depisteze rapid anomaliile sau zonele in care microcirculatia oculara este afectata.
Principiul de functionare al angiografiei
Angiografia non-invaziva se bazeaza pe tehnologia OCT (tomografie prin coerenta optica), care utilizeaza unde de lumina pentru a crea imagini detaliate ale structurilor retiniene. Prin angiografie se obtin imagini prin miscarile propriilor hematii (globulele rosii sangvine) in vasele de sange. Nu se vede peretele vascular, ci fluxul sangvin circulator. Rezultatul este o reprezentare tridimensionala a microvascularizatiei retiniene, cu evidentierea circulatiei sanguine in toate straturile retinei.
Avantajele angiografiei non-invazive fata de metodele traditionale (angiofluorografie)
Angiografia este o investigatie rapida si non-invaziva, se efectueaza in aproximativ 1 minut pentru fiecare ochi si nu se atinge ochiul. Poate fi repetata de cate ori este nevoie, deoarece nu se administreaza substanta de contrast, ca atare, este eliminat riscul aparitiei reactiilor alergice, ca in cazul angiofluorografiei cu injectare de substanta de contrast – fluoresceina (AFG).
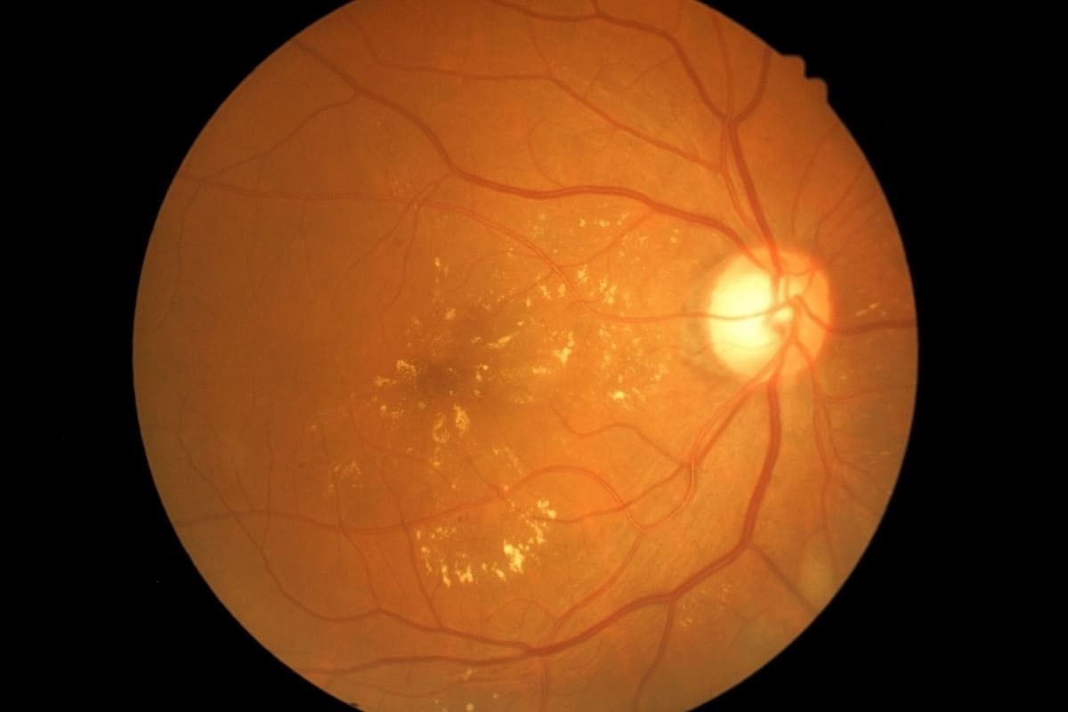
Aplicabilitatea angiografiei in diagnosticul bolilor retiniene

Sursa foto: Shutterstock
Angiografia non-invaziva este o investigatie utila in diagnosticarea unei game largi de afectiuni retiniene.
Afectiuni care pot fi diagnosticate cu ajutorul angiografiei
Angiografia ne ofera informatii foarte importante pentru diagnosticul si urmarirea evolutiei degenerescentei maculare legate de varsta, retinopatiei diabetice, miopiei forte, trombozei de vena centrala retiniana sau de ram si nu numai. Iata cateva informatii utile despre aceste afectiuni:
- degenerescenta maculara legata de varsta – este o afectiune care apare, de regula, dupa varsta de 60 de ani si care se manifesta prin alterarea vederii centrale ca urmare a deteriorarii progresive si ireversibile a maculei, zona centrala a retinei. Exista doua tipuri de degenerescenta maculara legata de varsta, forma uscata si forma umeda (in multe cazuri, se dezvolta initial forma uscata, care apoi evolueaza spre forma umeda la unul sau ambii ochi); angiografia retiniana poate ajuta la diagnosticarea si monitorizarea ambelor tipuri de degenerescenta maculara legata de varsta;
- retinopatia diabetica – este o complicatie a diabetului care afecteaza vasele de sange ale retinei; angiografia permite depistarea si evaluarea acestor complicatii, facilitand stabilirea unui plan terapeutic adecvat;
- miopia forte – este o forma severa de miopie, caracterizata prin valori foarte mari ale dioptriilor (peste 10 dioptrii) si asociata cu un risc crescut de dezvoltare a unor complicatii grave precum neovascularizatia coroidiana, maculopatia miopigena, dezlipirea de retina si glaucomul;
- tromboza de vena centrala retiniana – numita si ocluzie venoasa retiniana, apare atunci cand una dintre venele care transporta sângele din retina este blocata; poate implica vena centrala retiniana sau un ram venos; fiind una dintre cele mai frecvent intalnite afectiuni retiniene, in special dupa varsta de 40 de ani, si poate duce la diverse complicatii.
La afectiunile enumerate anterior, pot aparea diverse manifestari, precum vase de sange anormale, edem intraretinian. Acestea pot fi cu usurinta localizate la nivelul straturilor retiniene cu ajutorul acestei investigatii. De asemenea, se poate observa daca respectiva zona de neovascularizatie este activa sau inactiva.
Beneficiile detectarii precoce
Detectarea precoce a afectiunilor retiniene este esentiala pentru prevenirea pierderii vederii. Angiografia non-invaziva permite identificarea modificarilor vasculare, care pot fi un semn al unei boli incipiente. Diagnosticarea precoce permite initierea tratamentului adecvat, ceea ce poate incetini progresia bolii si poate proteja vederea pacientului.
Cum se realizeaza angiografia retiniana?

Inainte de efectuarea investigatiei, se administreaza picaturi de dilatare, deoarece pentru obtinerea unor imagini clare este bine ca pacientul sa aiba pupilele dilatate. In timpul investigatiei, pacientul trebuie sa isi mentina privirea fixa pentru cateva secunde. De asemenea, pentru obtinerea unor imagini de acuratete, este important sa nu existe opacitati semnificative de-a lungul axului vizual (opacitati corneene, cataracta avansata, tulburari vitreene importante).
Cu ajutorul tomografului ZEISS CIRRUS OCT cu platforma AngioPlex obtinem imagini clare, tridimensionale, cu o buna rezolutie si de inalta specificitate de la nivelul retinei si coroidei. Prin aceasta metoda, angiografie, putem diagnostica mai rapid o complicatie retiniana si, astfel, putem initia rapid tratamentul corect. De asemenea, este extrem de utila pentru urmarirea evolutiei bolilor si a raspunsului la tratament (de exemplu, dupa injectiile cu anti VEGF), deoarece ne permite sa comparam imaginile obtinute in momente diferite.
Ce trebuie sa stie pacientul in timpul investigatiei
Pentru a obtine imagini clare si precise in timpul scanarii, este important ca pacientul sa fie pozitionat corect. Acesta trebuie sa-si sprijine barbia pe suportul special si fruntea de banda de fixare. Aparatul se va ajusta automat pentru a centra ochiul in fata camerei. De asemenea, pacientul trebuie sa se concentreze pe un punct fix si sa-si mentina privirea stabila, pentru a evita miscarile care ar putea distorsiona imaginile.
Monitorizarea tratamentelor retiniene cu angiografie
Angiografia non-invaziva este o investigatie valoroasa in monitorizarea eficacitatii tratamentelor pentru afectiunile retiniene. Imaginile capturate in timpul examinarii pot fi comparate cu imaginile anterioare, permitand medicilor sa evalueze raspunsul la tratament si sa ajusteze terapia, daca este necesar.
Urmarirea raspunsului la tratament
Angiografia non-invaziva permite o analiza detaliata a impactului tratamentului asupra retinei. Aceasta metoda este deosebit de utila in cazul pacientilor care urmeaza terapie cu injectii intravitreene cu anti-VEGF ori dupa tratamente laser retiniene.
Prin compararea imaginilor angiografice obtinute la diferite intervale de timp, medicul oftalmolog poate observa reducerea neovascularizatiei, precum si resorbtia sau reducerea edemului retinian. Acest proces ajuta la individualizarea tratamentului si la stabilirea celor mai eficiente solutii terapeutice.
De ce este angiografia non-invaziva esentiala pentru sanatatea retinei?
Angiografia non-invaziva este esentiala pentru sanatatea retinei deoarece permite diagnosticarea precoce a afectiunilor retiniene, monitorizarea eficacitatii tratamentelor si prevenirea pierderii vederii. Aceasta tehnica inovatoare ofera medicilor oftalmologi informatii valoroase despre starea vaselor de sange, permitand un management mai eficient al bolilor retiniene.
Accesibilitatea si eficienta acestei investigatii
Aceasta procedura ofera rezultate rapide si precise, ajutand medicii sa ia decizii informate intr-un timp scurt. Spre deosebire de metodele invazive, care pot implica anumite riscuri, angiografia non-invaziva reprezinta o optiune mult mai sigura si mai confortabila pentru pacienti. Aceste avantaje o fac esentiala in managementul sanatatii retinei, mai ales in conditiile in care afectiunile oculare pot progresa rapid fara tratamente adecvate.
Pentru informatii privind angiografia si pretul ei, va rugam sa consultati lista cu preturi pentru investigatii.
Concluzie: Angiografia non-invaziva – o metoda sigura si eficienta in oftalmologie
Angiografia non-invaziva reprezinta un progres semnificativ in oftalmologie, oferind o metoda rapida, sigura si eficienta de diagnostic si monitorizare a afectiunilor retiniene. Disponibilitatea acestei tehnologii la Ama Optimex permite pacientilor sa beneficieze de un diagnostic precis si de un tratament personalizat, contribuind la mentinerea unei vederi sanatoase pentru cat mai mult timp.
Surse:
- Le, Patrick H, et al. „Optical Coherence Tomography Angiography”, StatPearls Publishing, 6 Oct. 2024, www.ncbi.nlm.nih.gov/books/NBK563235/.
- „Optical Coherence Tomography Angiography”, EyeWiki – American Academy of Ophthalmology, 29 Dec. 2024, eyewiki.org/Optical_Coherence_Tomography_Angiography.
- Rocholz, Roland, et al. „OCT Angiography (OCTA) in Retinal Diagnostics”, Springer EBooks, 1 Jan. 2019, pp. 135–160, www.ncbi.nlm.nih.gov/books/NBK554041/, https://doi.org/10.1007/978-3-030-16638-0_6.
- „What Is Optical Coherence Tomography?”, American Academy of Ophthalmology, 26 Sept. 2024, www.aao.org/eye-health/treatments/what-is-optical-coherence-tomography.
- „Retinal Diseases – Symptoms and Causes”, Mayo Clinic, 2024, www.mayoclinic.org/diseases-conditions/retinal-diseases/symptoms-causes/syc-20355825.
- „Retinal Vein Occlusion: Causes, Types & Treatment”, Cleveland Clinic, 25 Aug. 2023, my.clevelandclinic.org/health/diseases/14206-retinal-vein-occlusion-rvo.
Dr. Carmen DRAGNE
Medic Primar, Specialist Oftalmolog


Doresc o programare la angiofluorografie,dacă se poate și prețul,sau dacă se poate prin CASMB
Bună ziua,
Lista cu prețuri este afișată pe site-ul nostru: https://www.amaoptimex.ro/preturi/. La Ama Optimex nu lucrăm cu Casa de Asigurări.
Puteți solicita o programare aici https://www.amaoptimex.ro/contact/detalii-programare/#programare (vă vom contacta pentru a stabili detaliile) sau telefonic la 021.211.16.22 (în timpul săptămânii între 7:30 și 20:30, sâmbăta între 8:00 și 13:00).
Vă recomand consult la colega mea, Dr. Carmen Dragne.
Multă sănătate,
Dr. Andrei Filip